Toxoplasmoza este o boala care rezulta din infectia cu parazitul Toxoplasma gondii, unul dintre cei mai comuni paraziti din lume. Infectia apare de obicei prin consumul de carne contaminata, expunere la fecale de pisici infectate sau transmitere de la mama la copil in timpul sarcinii.
Toxoplasmoza poate provoca simptome asemanatoare gripei la unele persoane, dar majoritatea persoanelor afectate nu apar niciodata semne si simptome. Pentru sugarii nascuti din mame infectate si pentru persoanele cu sistem imunitar slabit toxoplasmoza poate provoca complicatii grave.
Daca in general sunteti sanatosi, nu sunteti insarcinata si ati fost diagnosticat cu toxoplasmoza, probabil ca nu veti avea nevoie de niciun alt tratament in afara tratamentului conservator. Daca sunteti gravida sau aveti imunitate scazuta, este posibil sa aveti nevoie de management medical pentru a evita complicatii severe. Cea mai buna abordare este insa preventia.
Cauze / Agent infecțios / Factori de risc
Cauzele toxoplamozei
Expunerea umana la toxoplasmoza este frecventa acolo unde se gasesc pisici.
Riscul de a dezvolta boala este foarte scazut, exceptand cazurile in care fatul este infestat in uter sau in care imunitatea este compromisa.
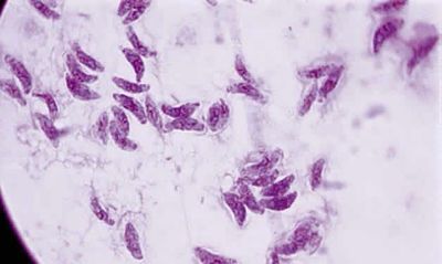
T. gondii este ubicuitara la pasari si mamifere. Acest parazit conditionat intracelular invadeaza si se inmulteste asexuat ca tahizoiti in citoplasma oricarei celule nucleate. Cand imunitatea gazdei se manifesta, inmultirea tahizoitilor inceteaza si se formeaza chisturi tisulare, care persista ani, mai ales in creier si muschi. Reproducerea sexuata a lui T.gondii are loc numai in tractul intestinal al pisici. Oochistii rezultati eliminate prin fecale raman infectiosi in solul umed timp de mai multe luni.
Ingestia oochistilor din fecalele de pisica este cea mai frecventa modalitate de infestatie orala. Infestatia mai apare prin consumul de carne cruda sau insuficient preparata termic, cu chisturi tisulare, mai frecvent de miel, porc sau, rareori, de vita.
Toxoplasmoza se poate transmite placentar daca mama devine infestata sau daca imunosupresia activeaza o infectie anterioara in timpul sarcinii.
Transmisia poate aparea si prin transfuzia de sange integral sau de leucocite sau prin tansplant de organ de la un donor seropozitiv. Reactivarea apare in principal la pacientii imunocompromisi.
La persoane sanatoase in rest, infectia congenital sau dobandita poate reactiva boala in retina. Infestatia din antecedente confera rezistenta fata de reinfestare.
Factori de risc pentru toxoplasmozei
Oricine poate fi infectat cu toxoplasmoza. Parazitul se gaseste in toata lumea. Esti in pericol de probleme grave de sanatate din cauza infectiei cu toxoplasmoza daca:
- Aveti HIV/SIDA. Multe persoane cu HIV/SIDA au si toxoplasmoza, fie o infectie recenta, fie o infectie veche care s-a reactivat;
- Va supuneti chimioterapiei. Chimioterapia iti afecteaza sistemul imunitar, ingreunand organismul sa lupte chiar si cu infectii minore;
- Luati steroizi sau alte medicamente imunosupresoare. Medicamentele utilizate pentru tratarea anumitor afectiuni non-maligne va suprima sistemul imunitar si va fac mai multe sanse de a dezvolta complicatii ale toxoplasmozei.
Complicatiile toxoplasmozei
Daca aveti un sistem imunitar normal, nu este posibil sa prezentati complicatii ale toxoplasmozei, desi, in caz contrar, oamenii sanatosi dezvolta uneori infectii oculare. Netratate, aceste infectii pot duce la orbire.
Dar daca sistemul dumneavoastra imunitar este slabit, mai ales ca urmare a HIV/SIDA, toxoplasmoza poate duce la convulsii si boli care pot pune viata in pericol, cum ar fi encefalita - o infectie grava a creierului.
La persoanele cu SIDA encefalita netratata din toxoplasmoza este fatala. Recidiva este o preocupare constanta pentru persoanele cu toxoplasmoza care au si un sistem imunitar slabit.
Copiii cu toxoplasmoza congenitala pot dezvolta complicatii invalidante, inclusiv pierderi de auz, dizabilitati mentale si orbire.
Toxoplasmoza si sarcina
Care sunt riscurile toxoplasmozei in timpul sarcinii?
Toxoplasmoza este o infectie comuna care este de obicei inofensiva. Dar daca aveti toxoplasmoza pentru prima data in timp ce sunteti gravida sau cu cateva luni inainte de a naste, exista un risc mic pe care infectia il poate provoca:
- Avort;
- Nasterea unui copil mort;
- Defecte de nastere sau probleme dupa nasterea copilului - acest lucru este foarte rar.
De obicei nu vei dezvolta niciun simptom evident.
Cat de obisnuita este toxoplasmoza in timpul sarcinii?
Probabil ca sansele de a obtine toxoplasmoza pentru prima data in timpul sarcinii sunt foarte mici.
Chiar daca te-ai infectat pentru prima data in timpul sarcinii, acest lucru nu inseamna neaparat ca copilul tau este in pericol. In multe cazuri infectia nu se raspandeste la copil.
Pentru a afla daca suferiti de aceasta afectiune cereti medicului dumneavoastra un test de sange pentru a verifica infectia. Daca aceasta detecteaza o infectie recenta, pot fi efectuate teste suplimentare pentru a verifica daca bebelusul tau este afectat si poate fi administrat tratament pentru a reduce riscul de complicatii.
Simptome
Simptomele toxoplasmozei
Simptomele variaza de la niciunul la limfadenopatie benigna, o boala asemanatoare mononucleozei sau boala amenintatoare pentru viata la pacientii imunocompromisi. Retinocoroidita, convulsiile si retardul mintal apar in infectia congenitala.
Infestatia este, de obicei, asimptomatica, dar poate determina limfadenopatie usoara, care se remite spontan, la nivel cervical sau axillar.
Toxoplasma acuta poate mima mononucleoza infectioasa sau limfadenopatie, febra, stare generala alterata, mialgie, hepatosplenomegalie si, mai rar, faringita. Sunt frecvente limfocitoza atipica, anemia usoara, leucopenia si cresterea usoara a enzimelor hepatice. Sindromul poate persista saptamani sau luni, dar este intotdeauna autolimitat.
Toxoplasmoza diseminata severa este rara la persoanele imunocompetente. Tozoplasmoza latenta se reactiveaza in 30-40% din cazurile de SIDA la pacientii care nu urmeaza profilaxie antibiotica.
Majoritatea pacientilor cu SIDA care dezvolta toxoplasmoza se prezinta cu encefalita sau meningoencefalita amenintatoare de viata. Miocardita, pneumonia, orhita, afectarea altor organe si boala diseminata sunt mai putin frecvente. Toxoplasmoza poate determina deficite neurologice de focar, ca pierdere de functie motorie sau senzoriala, paralizii de nervi crenieni, anomalii de vedere, convulsii focale si anomalii generalizate, cum ar fi cefalee, tulburari psihice, convulsii, coma si febra.
Toxoplasmoza congenitala rezulta in urma unei infectii acute primare (si adesea asimptomatice) contractate de mama in timpul sarcinii. Femeile infectate inainte de conceptie nu tansmit, de obicei, toxoplasmoza la fat decat daca infectia este reactivata in timpul sarcinii prin imunosupresie. Pot aparea avortul spontan si moartea fetala. Procentajul de feti care supravietuiesc dintre cei nascuti cu toxoplasmoza creste de la 15% la 30% si 60% in cazul infectiilor materne contractate in trimestrul 1, 2, sau 3 de sarcina.
Boala la nou-nascut poate fi severa, mai ales daca este contractata la inceputul sarcinii, cu icter, rash, hepatosplenomegaliesi tetrada caracteristica de anomalii: retinocoroidita bilaterala, calcificari cerebrale, hidrocefalie sau microcefalie si retard psihomotor. Multi copii cu infectii mai putin severe si majoritatea sugarilor cu mame infectate in timpul celui de-al 3-lea trimestru par sanatosi la nastere, dau au risc crescut de convulsii, retard mintal, retinocoroidita sau de alte simptome care apar dupa luni sau chiar dupa ani.
Majoritatea persoanelor sanatoase care sunt infectate cu toxoplasmoza nu au semne sau simptome si nu stiu ca sunt infectate. Unele persoane, cu toate acestea, prezinta semne si simptome similare cu cele ale gripei, inclusiv:
- Dureri de corp;
- Noduli limfatici umflati;
- Durere de cap;
- Febra;
- Oboseala.
Daca aveti HIV/SIDA, primiti chimioterapie sau ati efectuat recent un transplant de organe, se poate reactiva o infectie cu toxoplasma anterioara. In acest caz, puteti dezvolta semne si simptome de infectie mai severe, inclusiv:
- Durere de cap;
- Confuzie;
- Coordonare slaba;
- Convulsii;
- Probleme pulmonare care pot fi asemanatoare tuberculozei sau pneumoniei;
- Vedere incetosata cauzata de inflamatia severa a retinei tale (toxoplasmoza oculara).
Simptome la bebelusi
Daca v-ati infectat pentru prima data chiar inainte sau in timpul sarcinii, puteti transmite infectia copilului dumneavoastra (toxoplasmoza congenitala), chiar daca nu aveti semne si simptome.
Bebelusul tau are cel mai mult risc de a contracta toxoplasmoza daca te infectezi in al treilea trimestru iar riscul cel putin este daca te infectezi in primul trimestru. Pe de alta parte, cu cat mai devreme in sarcina ta apare infectia, cu atat rezultatul este mai grav pentru copilul tau.
Multe infectii precoce se termina in nastere sau avort spontan. Sugarii care supravietuiesc sunt susceptibili sa se nasca cu probleme grave, cum ar fi:
- Convulsii;
- Un ficat marit si splina;
- Galbenirea pielii si albii ochilor (icter);
- Infectii severe ale ochilor.
Doar un numar mic de bebelusi care au toxoplasmoza prezinta semne ale bolii la nastere. Adesea, sugarii care sunt infectati nu dezvolta semne - care pot include pierderi de auz, dizabilitati mentale sau infectii grave ale ochilor - pana la adolescenta sau mai tarziu.
Simptome
Simptomele toxoplasmozei
Simptomele variaza de la niciunul la limfadenopatie benigna, o boala asemanatoare mononucleozei sau boala amenintatoare pentru viata la pacientii imunocompromisi. Retinocoroidita, convulsiile si retardul mintal apar in infectia congenitala.
Infestatia este, de obicei, asimptomatica, dar poate determina limfadenopatie usoara, care se remite spontan, la nivel cervical sau axillar.
Toxoplasma acuta poate mima mononucleoza infectioasa sau limfadenopatie, febra, stare generala alterata, mialgie, hepatosplenomegalie si, mai rar, faringita. Sunt frecvente limfocitoza atipica, anemia usoara, leucopenia si cresterea usoara a enzimelor hepatice. Sindromul poate persista saptamani sau luni, dar este intotdeauna autolimitat.
Toxoplasmoza diseminata severa este rara la persoanele imunocompetente. Tozoplasmoza latenta se reactiveaza in 30-40% din cazurile de SIDA la pacientii care nu urmeaza profilaxie antibiotica.
Majoritatea pacientilor cu SIDA care dezvolta toxoplasmoza se prezinta cu encefalita sau meningoencefalita amenintatoare de viata. Miocardita, pneumonia, orhita, afectarea altor organe si boala diseminata sunt mai putin frecvente. Toxoplasmoza poate determina deficite neurologice de focar, ca pierdere de functie motorie sau senzoriala, paralizii de nervi crenieni, anomalii de vedere, convulsii focale si anomalii generalizate, cum ar fi cefalee, tulburari psihice, convulsii, coma si febra.
Toxoplasmoza congenitala rezulta in urma unei infectii acute primare (si adesea asimptomatice) contractate de mama in timpul sarcinii. Femeile infectate inainte de conceptie nu tansmit, de obicei, toxoplasmoza la fat decat daca infectia este reactivata in timpul sarcinii prin imunosupresie. Pot aparea avortul spontan si moartea fetala. Procentajul de feti care supravietuiesc dintre cei nascuti cu toxoplasmoza creste de la 15% la 30% si 60% in cazul infectiilor materne contractate in trimestrul 1, 2, sau 3 de sarcina.
Boala la nou-nascut poate fi severa, mai ales daca este contractata la inceputul sarcinii, cu icter, rash, hepatosplenomegaliesi tetrada caracteristica de anomalii: retinocoroidita bilaterala, calcificari cerebrale, hidrocefalie sau microcefalie si retard psihomotor. Multi copii cu infectii mai putin severe si majoritatea sugarilor cu mame infectate in timpul celui de-al 3-lea trimestru par sanatosi la nastere, dau au risc crescut de convulsii, retard mintal, retinocoroidita sau de alte simptome care apar dupa luni sau chiar dupa ani.
Majoritatea persoanelor sanatoase care sunt infectate cu toxoplasmoza nu au semne sau simptome si nu stiu ca sunt infectate. Unele persoane, cu toate acestea, prezinta semne si simptome similare cu cele ale gripei, inclusiv:
- Dureri de corp;
- Noduli limfatici umflati;
- Durere de cap;
- Febra;
- Oboseala.
Daca aveti HIV/SIDA, primiti chimioterapie sau ati efectuat recent un transplant de organe, se poate reactiva o infectie cu toxoplasma anterioara. In acest caz, puteti dezvolta semne si simptome de infectie mai severe, inclusiv:
- Durere de cap;
- Confuzie;
- Coordonare slaba;
- Convulsii;
- Probleme pulmonare care pot fi asemanatoare tuberculozei sau pneumoniei;
- Vedere incetosata cauzata de inflamatia severa a retinei tale (toxoplasmoza oculara).
Simptome la bebelusi
Daca v-ati infectat pentru prima data chiar inainte sau in timpul sarcinii, puteti transmite infectia copilului dumneavoastra (toxoplasmoza congenitala), chiar daca nu aveti semne si simptome.
Bebelusul tau are cel mai mult risc de a contracta toxoplasmoza daca te infectezi in al treilea trimestru iar riscul cel putin este daca te infectezi in primul trimestru. Pe de alta parte, cu cat mai devreme in sarcina ta apare infectia, cu atat rezultatul este mai grav pentru copilul tau.
Multe infectii precoce se termina in nastere sau avort spontan. Sugarii care supravietuiesc sunt susceptibili sa se nasca cu probleme grave, cum ar fi:
- Convulsii;
- Un ficat marit si splina;
- Galbenirea pielii si albii ochilor (icter);
- Infectii severe ale ochilor.
Doar un numar mic de bebelusi care au toxoplasmoza prezinta semne ale bolii la nastere. Adesea, sugarii care sunt infectati nu dezvolta semne - care pot include pierderi de auz, dizabilitati mentale sau infectii grave ale ochilor - pana la adolescenta sau mai tarziu.
Informaţii despre
| Nume | Toxoplasmoză | |
|---|---|---|
| Agent etiologic | Green 1 | |
| Pagina Web | www.malacards.org | |
| Clasificare globală Malacards | Boli fetale; Boli infecțioase; Boli rare | |
| Clasificari ICD10 | Toxoplasmosis with other organ involvement; Toxoplasmosis, unspecified | |
| Clasificare anatomică Malacards | Boli neuronale | |
| Boli din aceeaşi familie | Congenital Toxoplasmosis |

